早期胃癌的白光识别 - 内镜集锦
早期胃癌的白光识别 - 内镜集锦

胃的白光观察
•具有清晰的边界
•表面(形态或颜色)不规则
•有Hp/萎缩/肠化背景
早期胃癌白光下表现
•色调改变:发红、发白、红白混杂
•形态改变:隆起、凹陷、凹凸不平、毛刺征、溃疡形成、周边黏膜皱襞集中、中断等
•易出血或自发性出血
早期胃癌黏膜下浸润白光表现
•凹陷内存在隆起和粗大结节,凹陷内有凹陷
•胃壁延展征不良
•皱襞融合、肿大,凹陷边缘呈SMT样改变
例1 胃窦病变

图1a 白光内镜:胃窦小弯可见IIa+IIc病变,范围2.0cmx1.5cm,微发黄,似胃炎样外观,边界线可疑。

图1b 色素内镜:喷洒靛胭脂后可见病变边界清晰,病变处胃小区及胃小沟消失,病变处发红,靛胭脂不着色。

图1c NBI高倍放大:IMVP(+)、IMSP(+)、DL (+)

图1d 离体标本结晶紫染色:表现腺管结构大小不同,拥挤,部分腺管破坏毁损,边界清晰,提示高分化腺癌(Tub1)

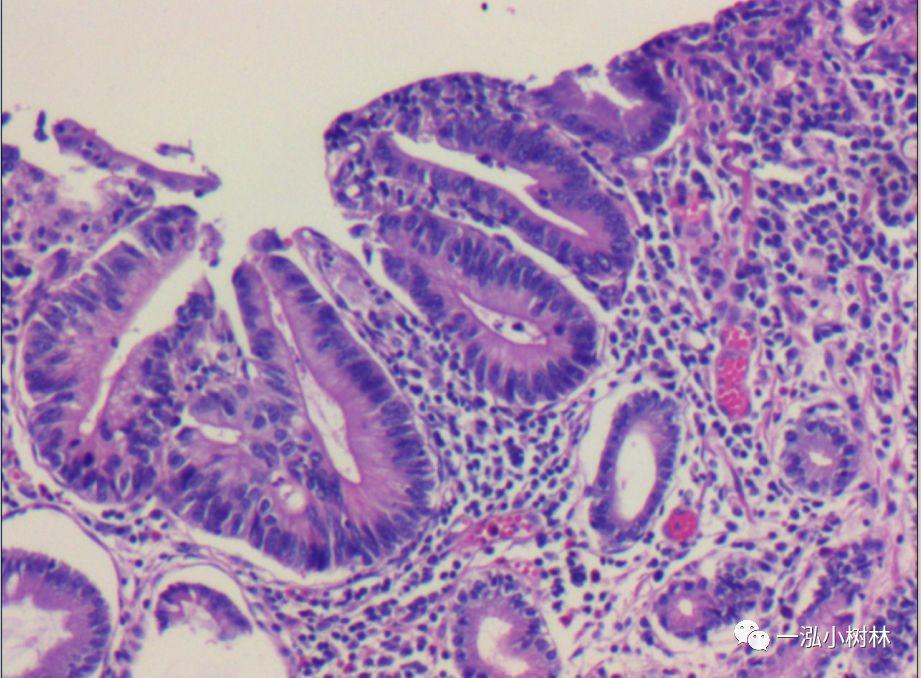
图1e 病理组织学:术后ESD病理:细胞核大深染,呈假复层排列,腺管排列紊乱,高分化腺癌(Tub1)。
例2 胃窦病变

图2a 白光内镜:胃窦前壁高分化腺癌(Tub1)。

图2b NBI:褐色背景,边界线清晰。胃窦前壁高分化腺癌(Tub1)。

图2c ESD病理:高分化腺癌(Tub1)
例3 胃体下部病变

图3 白光内镜:胃体下部炎症。
例4 胃体下部病变

图4a 白光内镜:胃体下部高分化腺癌(Tub1)

图4b 白光内镜:胃体下部高分化腺癌(Tub1)

图4c NBI+ME:表面构造呈绒毛样,大小不等、形态不规则,边界清晰,诊断为0-IIc早期胃癌,分化程度:高分化腺癌(Tub1),深度:黏膜内。活检病理:高分化腺癌/高级别内瘤变。
例5 胃窦病变

图5 白光内镜:胃窦高分化腺癌/高级别内瘤变
例6 胃体上部病变

图6 白光内镜:胃体上部高分化腺癌,ESD病理提示黏膜下浸润(>500um)。
例7 胃窦病变

图7 白光内镜:胃窦后壁高-中分化腺癌(Tub1>Tub2)

图7 ME-NBI:不规则绒毛结构+不规则微血管结构+绒毛融合

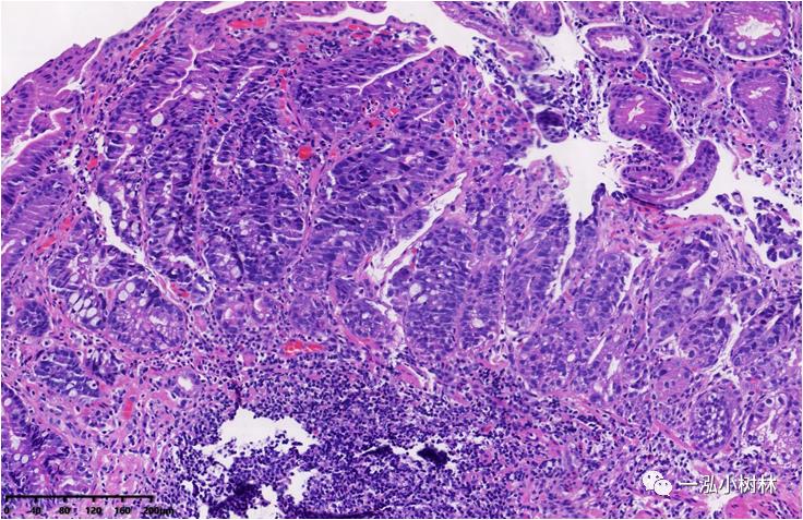
图7c ESD术后病理组织学:胃窦后壁高-中分化腺癌(Tub1>Tub2)
例8 胃窦病变

图8 白光内镜:胃窦小弯高分化腺癌(Tub1)
例9 胃体下部病变

图9 白光内镜:胃体下部炎症。
例10 胃窦病变

图10a 白光内镜:胃窦前壁高分化腺癌(Tub1)

图10b 白光内镜:胃窦前壁高分化腺癌(Tub1)

图10c NBI内镜:胃窦前壁高分化腺癌(Tub1)

图10d 病理组织学:(胃窦)高分化腺癌
例11 胃窦病变

图11 白光内镜:胃窦小弯炎症。
-
- 因全家送外卖,女孩被同学嘲讽是“穷鬼”,书包上的纸条令人愤怒
-
2024-09-13 17:53:42
-
- 对话香港大学教授席宁:当前的仿人形机器人不是产品,而是实验室里的原型试验
-
2024-09-12 22:01:58
-
- 世界油价跌至2021年来最低水平的70美元,对我们有什么影响
-
2024-09-12 21:59:42
-
- 连坠14层!上海六旬老人吓懵,所有按钮都按了也没用,事发前3天电梯刚做过维
-
2024-09-12 21:57:27
-
- 又把谁忽悠瘸了?贾跃亭喜提2.1亿融资
-
2024-09-12 21:55:11
-
- 被曝欠薪数月,3年半亏了9亿多元,创始人薪酬8800万?知名平台回应:大部分
-
2024-09-12 21:52:55
-
- 动察:面临多重挑战,苹果改进CarPlay界面和交互
-
2024-09-12 21:50:40
-
- 华林证券“流水席”:5年送走6位CEO
-
2024-09-12 21:48:24
-
- “你的人生,根本不需要长远的职业规划”
-
2024-09-12 21:46:08
-
- 去大理开民宿,还能赚钱吗?
-
2024-09-12 21:43:53
-
- 辛巴直播权限被封禁!盘点辛巴三只羊“互撕”时间线:“两亿大战”如何收场
-
2024-09-12 21:41:37
-
- 苹果与腾讯又一次握手言和
-
2024-09-11 01:47:04
-
- 现在,特朗普自爆非常不开心
-
2024-09-11 01:44:47
-
- 各地政府抢滩合成生物背后:万亿产业卡位赛升级,产业化落地靠什么?
-
2024-09-11 01:42:30
-
- 当闲鱼开始“淘宝化”
-
2024-09-11 01:40:13
-
- 被记者认为“智商太低”的小泉进次郎,会成为日本最年轻首相吗
-
2024-09-11 01:37:57
-
- “晚点拿快递”,多花了8亿
-
2024-09-11 01:35:40
-
- 科技股会再遭暴击吗?谷歌“反垄断第二案”今日开庭
-
2024-09-11 01:33:23
-
- 你的“拖延症”,给丰巢贡献了超8亿营收
-
2024-09-11 01:31:07
-
- 别让网红站在历史舞台的中央
-
2024-09-11 01:28:51



前妻终于说出离婚的真相(跟前妻离婚后兄弟说出了真相)
杨幂1分11秒视频被疯狂转发 女主角到底是谁
名模潘娇娇的那些喷血写真 潘娇娇简介
中学生情侣在光天化日之下偷吃禁果,视频曝光引发网友强烈谴责
199·99的含义 991的爱情意思
四川省非常穷的20个县,有你的家乡吗?
实拍:非洲版的“大阴人”嫪毐,长度达到惊人的1.2米!
强推⑧本男主是蛇的小说‼️
汉字解读:“睢”和“雎”到底哪里不同?别再混淆了
《橘子汽水》易燃易爆竹马兄x贴心棉袄邻家妹 已完结 by南奚川