新生儿肺炎的超声诊断 (附典型图像)
新生儿肺炎的超声诊断 (附典型图像)
来源:影像学园
新生儿肺炎的超声诊断
我们在借鉴肺脏超声诊断儿童和成人感染性肺炎经验的基础上,在国际上首先对用超声诊断新生儿感染性肺炎的价值进行了探讨,结果证实超声诊断新生儿感染性肺炎准确可靠,且具有较高的敏感性和特异性。在随后的临床研究与观察中,发现各种肺炎[如各种感染性(含呼吸机相关性肺炎)肺炎、吸入性肺炎等]均具有相同的超声影像学特点。近来,国内外也陆续有关于使用超声诊断新生儿肺炎的报道,均证实超声诊断肺炎准确可靠,且超声的表现甚至还可能早于其他实验室异常,从而有助于早期诊断。
一项针对使用超声诊断儿童肺炎的Meta 分析的结果显示,超声诊断儿童肺炎的敏感性为96%、特异性为 93%。根据我们的研究结果和临床经验,结合有关文献报道,得出新生儿肺炎的超声诊断依据主要如下:①肺实变伴支气管充气征(或支气管充液征),严重大面积肺实变时在实时超声下可见肺滑消失、肺搏动和动态支气管充气征。②实变区胸膜线异常,A 线消失。③非实变区可见较多B 线或呈AIS 改变。④胸腔积液。少数患儿可有不同程度的单侧或双侧胸腔积液。⑤偶可见双肺点。实变伴动态支气管充气征是超声诊断肺炎最重要的超声影像学,其特点如下:
①大小和形状不同的低回声区(实变区)。实变的程度和范围与疾病严重程度有关,重症肺炎实变区范围较大,边界不规则或呈锯齿状,实变区边缘可见碎片征,在实时超声下可见动态支气管充气征;轻度肺炎或肺炎早期仅可见累及一个肋间的胸膜下小范围实变区。②不均匀的低回声反射(即实变)伴不规则的锯齿状边缘。③大面积严重肺实变时可见树枝状支气管充气征(dendrite-like air bronchogram)。④实变可位于肺野的任何一个或多个部位,在同一肺野内可存在大小和形状不同的实变区,实变区周围为含气肺组织(可能为水肿)。
胸膜线异常、A 线消失及AIS 等也是新生儿肺炎常见但非特异性的超声改变。胸膜线异常、AIS 等均与炎症反应及炎症渗出程度有关,严重者可有少量胸腔积液。重症肺炎时在实时超声下可见肺滑消失与肺搏动,肺搏动与肺实变或(和)肺不张的形成及程度有关,被认为是各种原因所致肺不张的特征性改变之一;轻度肺炎则无肺搏动,肺滑也不会消失。
肺炎在超声影像上与胎粪吸入综合征的表现类似(参见第七章新生儿胎粪吸入综合征),其鉴别诊断需结合病史和临床表现,这对临床医师来说相对容易,因其可掌握第一手临床资料,这也是我们为什么强调希望临床医师亲自开展肺脏超声检查的原因之一;如果肺脏超声系由超声科医师来完成,则希望临床医师在提交申请时能够提供较为详细的病史介绍,以便为超声科医师做诊断和鉴别诊断时提供参考。
新生儿肺炎的典型超声影像学表现

图6-1 肺炎的超声征象
显示肺组织肝样变伴树枝状支气管充气征(箭头)[引自Blaivas M. Lung ultrasound inevaluation of pneumonia. J Ultrasound Med,2012,31(6):823-826]。

图 6-2 重症感染性肺炎(1)
胎龄38+2周,剖宫产分娩,出生体重3 420g。因呼吸困难3d于出生后20d入院。体温38℃,双肺可闻及密集细湿啰音。血常规:WBC 22×109/L,N 78%,单核细胞比例12.2%,CRP 66.8mg/L。胸部X线检查结果符合新生儿肺炎改变。肺脏超声显示双肺边缘不规则的大面积实变区伴支气管充气征,胸膜线模糊或消失,A线消失。

图6-3 重症感染性肺炎(2)
胎龄32+6周,出生体重2 400g。出生后7d,呼吸困难,胸部X线检查结果符合新生儿肺炎改变。肺脏超声显示双肺大面积肺实变伴支气管充气征,实变区边缘不规则,胸膜线模糊或消失,A线消失。

图6-4 重症感染性肺炎(3)
胎龄39周,自然分娩,出生体重3 990g。母产程中发热,体温38.6℃。婴儿出生后即呼吸困难,胸部X线检查显示双肺重症肺炎,透过度显著降低。肺脏超声显示双肺大面积实变,实变区肺组织充气基本消失,提示被累及的肺组织已完全不张,实变区边界不规则。中间两图为探头与肋骨垂直扫描,最右侧为(右侧肺脏)探头与肋骨平行扫描所见。

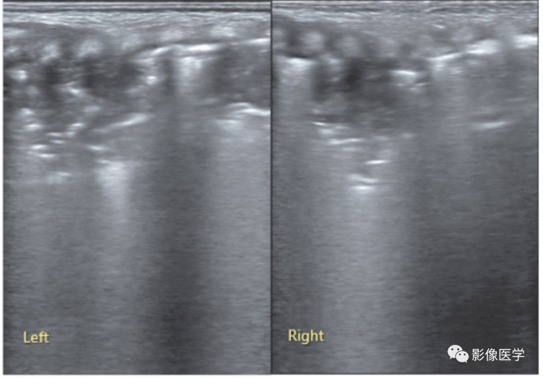
图6-5 宫内感染性肺炎(1)
胎龄37周,剖宫产分娩,出生体重3 700g。无窒息,有胎膜早破史,出生后呼吸困难,发热。血常规:WBC 30×109/L,N81%,PLT 67×109/L,CRP 39mg/L。肺脏超声显示右肺大面积边缘不规则实变区伴支气管充气征,胸膜线存在,A线消失,胸膜腔内可见极少量积液。胸部X线显示新生儿肺炎改变,右肺显著。

图6-6 宫内感染性肺炎(2)
胎龄31+1周,自然分娩,出生体重1 550g。胎膜早破47h,羊水混浊。出生后不久出现呼吸困难,低体温,给予呼吸机治疗。血常规:WBC 19.8×109/L,N 87%,PLT 87×109/L。血培养见肺炎克雷伯菌生长。胸部X线片显示右肺片状密度增高影,右下肺显著。肺脏超声显示右中下肺野累及超过1个肋间的实变区伴支气管充气征,实变区胸膜线消失,A线消失;非实变区呈AIS改变,A线消失,胸膜线存在。

图 6-7 宫内感染性肺炎(3)
胎龄33+4周,出生体重1 650g。因呼吸困难伴发热3d于出生后14d入院,给予呼吸机治疗。胸部X线检查双肺纹理增粗、模糊、紊乱,右下肺可见大块致密阴影,结合临床诊断为肺炎。肺脏超声显示右肺下野累及3个肋间的大面积实变影,实变区边缘呈锯齿状伴支气管充气征;上野呈AIS改变,胸膜线及A线消失。

图6-8 宫内感染性肺炎(4)
G1P1,胎龄40+3周,自然分娩,出生体重3 490g,出生时无窒息。出生后20min开始呼吸困难,中性粒细胞比例显著增高。肺脏超声显示双肺累及整个肺野的实变伴支气管充气征,边界不规则,胸膜线模糊、消失或连续性中断。

图6-9 呼吸机相关性肺炎(1)
胎龄31+5周。出生后2周,因RDS予以有创呼吸机治疗,患儿逐渐出现发热及血常规异常,对呼吸机参数要求增高,胸部X线片提示双肺严重炎症性改变。结合临床,诊断为呼吸机相关性肺炎。肺脏超声显示双肺大面积实变及支气管充气征,实变区边界不规则,胸膜线与A线消失。

图 6-10 呼吸机相关性肺炎(2)
胎龄39+4周,出生体重3 900g。因进行性呼吸困难入院,诊断为RDS,给予呼吸机治疗。住院2周仍未撤机,肺脏超声显示双肺野大面积实变伴支气管充气征,实变区边缘呈锯齿状,胸膜线及A线消失,提示并发呼吸机相关性肺炎及肺不张。

图 6-11 呼吸机相关性肺炎(3)
胎龄30周的早产儿,因RDS而给予呼吸机治疗,因撤机困难行肺脏超声检查。左图:探头与肋骨垂直扫描,显示左肺累及多个肋间的大面积实变,实变区内支气管充气已完全吸收,实变区边缘呈锯齿状。右图:将探头置于实变程度最重的肋间隙平行扫描所见肺实变(箭头所示)。

图6-12 呼吸机相关性肺炎(4)
G4P3,胎龄37周,因瘢痕子宫剖宫产分娩,出生体重3 480g。无宫内窘迫和胎膜早破,出生时无窒息。出生后3h开始呼吸困难,进行性加重伴呼气性呻吟,动脉血气分析轻度异常,肺脏超声诊断为RDS,给予呼吸机治疗。此后肺部病变逐渐减轻但并未完全恢复,故继续予以呼吸机治疗,逐渐出现血常规异常。呼吸机治疗第4天,复查肺脏超声显示右下肺累及3个肋间的实变伴支气管充气征,边界不规则(左:探头与肋骨垂直扫描。右:探头与肋骨平行扫描)。

图6-13 呼吸机相关性肺炎(5)
患儿,男,胎龄37周,剖宫产分娩。因呼吸困难入院,肺脏超声呈RDS改变[因宫内感染(WBC 28.8×109/L,N 86%,杆状核粒细胞比例17%,CRP 24mg/L,PCT 85ng/mL)继发RDS],给予呼吸机治疗。出生后第5天,肺脏超声显示左肺(左:探头与肋骨垂直扫描)、右肺(右:探头与肋骨平行扫描)各见累及1个肋间的肺实变(箭头所示),左肺可见支气管充气征;右肺实变程度较深,支气管内充气已被全部吸收,呈低回声实变区。

图6-14 社区获得性肺炎(1)
G4P2,胎龄33周,自然分娩。因咳嗽1周、喘憋5d于出生后45d入院。查体:呼吸困难,三凹征(+),右肺密集湿啰音,给予呼吸机治疗。肺脏超声:左肺呈AIS改变(胸膜线模糊,A线消失);右肺大面积实变伴支气管充气征,边界不规则,提示为肺炎。

图6-15 社区获得性肺炎(2)
G2P2,胎龄28周。因呼吸困难伴腹泻1d入院。查体:反应差,呼吸困难,三凹征(+),休克状态。双肺均闻及细湿啰音,右肺显著。给予呼吸机治疗。肺脏超声:右肺可见大面积实变伴支气管充气征、边界不规则;左肺以水肿为主要表现,可见累及不到1个肋间的局限性胸膜下小范围实变区(箭头),证实为肺炎。该患儿血培养为肺炎克雷伯菌生长,可能为该患儿感染的病原菌。

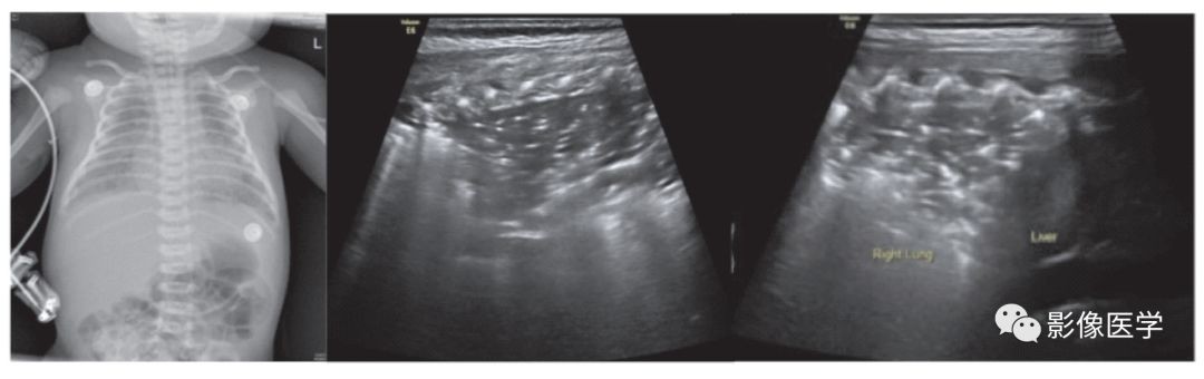
图6-16 宫内感染性肺炎:肺实变伴右侧胸腔积液
G1P1,胎龄38+3周,剖宫产分娩,出生体重3 270g。出生时无窒息。脐带扭转30余周,宫内窘迫,羊水Ⅲ°污染,无胎膜早破。出生后即见皮肤出血点。全身高度水肿,腹部皮肤出血点。产前超声提示胸腔积液+腹腔积液。胸部X线显示双肺模糊阴影,双侧肋膈角消失,右侧膈肌圆钝。肺脏超声提示双肺大面积实变、支气管充气征及双侧胸腔积液(右侧重)。

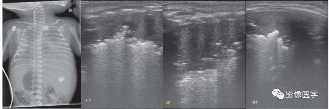
图6-17 宫内感染性肺炎:肺实变伴双侧胸腔积液
患儿,男,出生后30min因重度贫血入院(出生时血红蛋白为0),入院时呈失血性休克状态、毛细血管渗漏综合征及多器官功能衰竭。肺脏超声显示右肺较大范围实变伴支气管充气征,边缘呈锯齿状;左肺仅见累及1个肋间隙的局限性胸膜下实变;双侧均见明显胸腔积液。

图6-18 院内感染性肺炎
胎龄28周,出生后35d发生院内感染性肺炎。肺脏超声显示左肺两个区域、右肺一个区域的肺实变伴支气管充气征,边界不规则,实变区胸膜线消失。

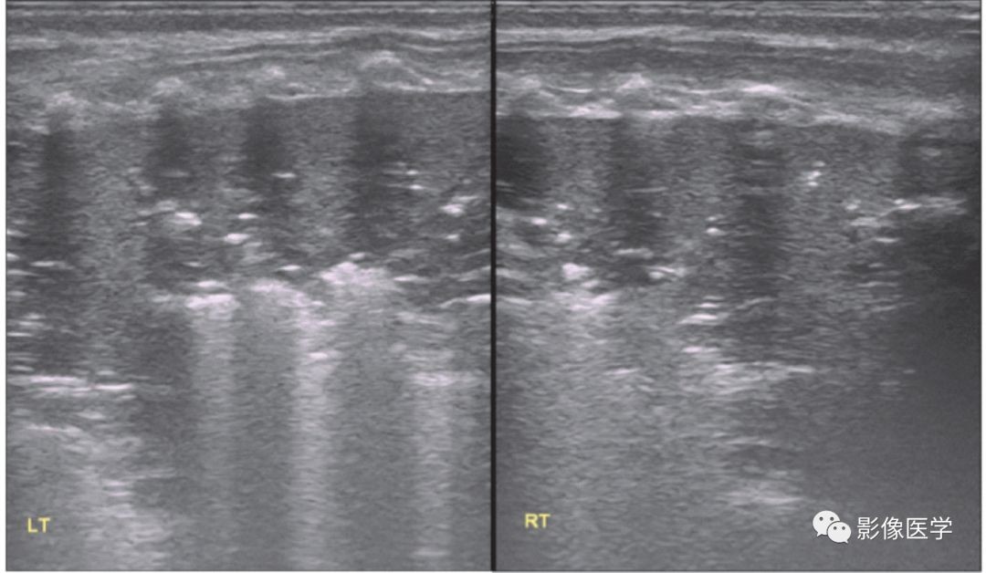
图6-19 乳汁吸入性肺炎
胎龄33周,低出生体重,出生后33d,因胃食管反流致乳汁吸入后呼吸困难。肺脏超声显示双肺实变伴支气管充气征,右肺实变范围较大,左肺实变仅累及1个肋间,实变区边缘不规则,部分肋间胸膜线消失或模糊,A线消失。

图6-20 乳汁吸入性肺炎:双肺点
胎龄32周,出生后28d,因胃食管反流致乳汁吸入。肺脏超声显示右肺明显实变伴支气管充气征,实变区边缘不规则,胸膜线消失或模糊;左肺未见实变,但可见明显双肺点(参见图6-21)。

图6-21 感染性肺炎:双肺点
胎龄31周,出生后20d,院内感染性肺炎。肺脏超声显示左肺呈双肺点征象、右肺大面积实变伴支气管充气征。结合上例,说明在肺炎(吸入性或感染性)时也可以见到双肺点,再一次证明双肺点并不是湿肺的特异性征象,任何肺部疾病,当引起上下肺野病变程度不一致或性质不同时,均可以出现双肺点征象。

图 6-22 感染性肺炎(1)
胎龄35周,出生体重2 050g。因发热、呼吸困难2d于出生后1周入院。肺部听诊闻及密集湿啰音,血常规中性粒细胞比例及CRP均明显升高。胸部X线检查结果呈肺炎改变。肺脏超声显示右肺大面积实变伴支气管充气征,实变区边缘呈锯齿状,A线消失,胸膜线连续性中断或消失,同时可见极少量胸腔积液。

图 6-23 感染性肺炎(2)
胎龄30周早产儿,住院28d时发生院内感染性肺炎。肺脏超声显示右肺大面积实变伴支气管充气征,边界不规则,胸膜线消失,A线消失。

图6-24 感染性肺炎(3)
患儿,男,因RDS入院,给予呼吸机治疗。撤机后不久再次出现呼吸困难,伴发热及血常规异常。左图:肺脏超声探头与肋骨垂直扫描时显示累及多个肋间的实变伴支气管充气征,以肺中野两个肋间最为明显,已导致相应部位肺不张。右图:探头与肋骨平行扫描可见边界清晰的低回声实变区,即肺不张。

图6-25 感染性肺炎(4)
患儿系胎龄27+6周早产儿,自然分娩,出生体重1 070g。因早产、低出生体重入院。母亲患真菌性阴道炎,患儿出生后1周左右出现鹅口疮,并很快出现呼吸困难、发热等临床表现,肺部听诊可闻及湿啰音。肺脏超声(探头与肋骨平行扫描)显示双肺实变伴支气管充气征,边界欠规则。血培养3次、深部痰培养1次均培养出白色念珠菌,提示该患儿可能为白色念珠菌性肺炎。该病例同其他细菌感染性肺炎比较,在超声影像上并无差异。

图6-26 肺炎:同一肺野内存在大小不同的实变区
胎龄38周,剖宫产分娩,出生时无窒息,出生体重3 935g。生后不久出现呼吸困难伴发热,肺部可闻及细湿啰音。血常规:WBC 22×109/L,N 89.1%,CRP 31mg/L。胸部X线片提示为肺部感染。肺脏超声显示(右)肺野内存在两个大小不同的实变区,伴支气管充气征,实变区边界不规则,胸膜线消失,A线消失。不同或同一肺野内存在大小不同的实变区,是肺炎的特点之一。

图6-27 轻度肺炎的超声表现:胸膜下实变伴左侧胸腔积液
胎龄37周,宫内窘迫伴出生时窒息,出生后轻度呼吸困难。肺脏超声显示左肺弥漫性胸膜下局灶性实变,胸膜线模糊或消失,并可见明显胸腔积液。由此可见,轻度肺炎可仅有局灶性的小范围实变。

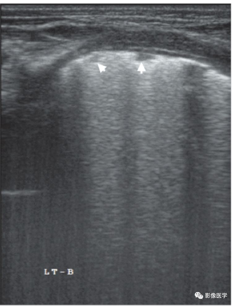
图6-28 轻度肺炎的超声表现:胸膜下局灶性实变
肺脏超声(探头与肋间隙平行扫描)可见两处局限于胸膜下的小范围实变,实变程度与炎症程度有关,肺炎时不一定都会有大面积实变,轻度肺炎时实变范围可以很小。探头与肋间隙平行扫描时,往往更有助于发现局限于胸膜下的小实变。

图6-29 肺炎的超声表现:宽景成像模式(1)
肺炎的超声表现(左肺肺炎)——宽景成像模式,依次显示肾脏、脾脏和肺脏。从超声影像上可以看出,几乎左肺在每个肋间均见明显实变伴支气管充气征,每个肋间受累的程度不同。

图6-30 肺炎的超声表现:宽景成像模式(2)
重症肺炎的超声表现(左侧肺炎)——宽景成像模式,依次显示肾脏、脾脏和肺脏。从超声影像上可以看出,左肺在每个肋间均见显著实变伴少许支气管充气征,每个肋间受累的程度不同。与图6-29相比,该患儿肺实变程度更重,严重受累部位(肺中野)已形成肺不张,肺组织含气量(支气管充气征)显著减少,提示病变程度较上例明显加重。此两例提示,宽景成像模式有助于了解全肺的病变情况。
【版权声明】本平台属公益学习平台,转载系出于传递更多学习信息之目的,且已标明作者和出处,如不希望被传播的老师可与我们联系删除
喜欢本期内容的 求收藏 求转发
如果您有ct片问题也可以直接头条私信
想要知道更多的放射科相关内容可以微信关注放射沙龙公众号
或者直接在应用商店下载放射沙龙app与放射科医生在线互动学习
-
- 自称天下无敌,却被志愿军30人血虐,澳军为何如此不堪一击
-
2026-01-29 07:17:31
-
- 和苏联“拜把子”,普京更是出兵守护,叙利亚和俄罗斯关系多铁?
-
2026-01-29 07:15:16
-
- 石二群:22年前抢银行208万,逃亡16年成亿万富翁,资产如何定性
-
2026-01-29 07:13:02
-
- 一个字的微信昵称,有深意的网名,适合40岁以上的你!
-
2026-01-29 07:10:48
-
- 欧阳修最著名的20首诗文,每一首都值得孩子诵读
-
2026-01-29 07:08:34
-
- 浅说冯唐诗
-
2026-01-26 21:31:34
-
- 奇特的嘴唇花
-
2026-01-26 21:29:20
-
- 老家印象 · 麦秸垛
-
2026-01-26 21:27:06
-
- 军改后,武警是军、不是警,但并不属于解放军
-
2026-01-26 21:24:51
-
- 金珠
-
2026-01-26 21:22:37
-
- 护理专业考研,为大家推荐下难度比较低的学校
-
2026-01-26 21:20:23
-
- 红色经典推荐书目来了,你最想细细品读哪一册?
-
2026-01-26 21:18:08
-
- 和孩子一起,每天背首诗:35《送兄》
-
2026-01-26 21:15:54
-
- 被下放LCK的一笔姐,直播把自己P到王多多身边,这是后悔了?
-
2026-01-26 21:13:40
-
- 种植一亩花椒,五年收益很少人知道,掌握四点,种出高品质的花椒
-
2026-01-26 21:11:25
-
- 中国最厉害的五所政法大学 哪些院校值得报考
-
2026-01-26 21:09:11
-
- 吴倩莲前男友秘密再婚!59岁老来得子很宠溺,与俩女儿却关系疏离
-
2026-01-26 21:06:56
-
- 三清之太清——太上老君
-
2026-01-26 21:04:42
-
- 青岛崂山的北九水
-
2026-01-26 21:02:28
-
- 李富贵栽秧现场!四证实锤?真相揭晓!
-
2026-01-26 21:00:13



前妻终于说出离婚的真相(跟前妻离婚后兄弟说出了真相)
名模潘娇娇的那些喷血写真 潘娇娇简介
中国十大航空空姐:南航旗袍装,川航火辣热情,你最钟意哪家?
杨幂1分11秒视频被疯狂转发 女主角到底是谁
80年代,洪学智的女儿洪醒华,与养母一家合影,曾流落民间12年
五本古言:权势滔天的男主对女主强取豪夺,终及一生都求而不得
5本年代军婚文,女主重生嫁给兵哥哥,独得一世宠爱,甜蜜幸福
刘师长在老山喊出“战士在前方流的是血,不是水”后,提拔被取消
中学生情侣在光天化日之下偷吃禁果,视频曝光引发网友强烈谴责
九本女主是继室的古言:《咸鱼继母日常》《继室夫人的合离计划》